
PEDV感染會引起新生仔豬急性高度傳染性的腸道疾病,以嘔吐、脫水和腹瀉為主要臨床癥狀,給全球養豬業造成了巨大的經濟損失。確定參與PEDV感染過程的宿主因子對于制定防控PEDV傳播的新策略至關重要。
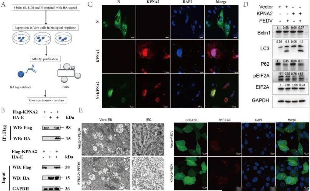
PEDV的結構蛋白在病毒入侵、釋放、復制、組裝、出芽和宿主免疫調節中起著關鍵作用,與其它病毒相似,PEDV主要依賴于宿主細胞進行復制。該研究在繪制PEDV結構蛋白與宿主因子相互作用的圖譜時發現KPNA2具有抑制PEDV復制的作用。通過質譜技術篩選到與病毒E蛋白互作的宿主蛋白KPNA2,檢測到PEDV感染的細胞中KPNA2表達上調(圖A和B)。同時,發現KPNA2在PEDV感染后出核至胞質(圖C),與E蛋白結合,通過自噬降解E蛋白實現對病毒復制的抑制(圖D和E)。

該研究提出了KPNA2 抑制PEDV復制的潛在靶點,可為開發新型抗病毒藥物和防控PEDV感染提供新策略。
我校獸醫學院博士后高琦為文章第一作者,龔浪副教授、張桂紅教授為通訊作者。該研究獲得國家自然科學基金項目、廣東省自然科學基金項目、茂名實驗室科研啟動項目、農業部生豬產業技術體系崗位科學家項目資助。

??
??
??